Dingra Dental Clinic, Southwest, Bijwasan, New Delhi 110061
Emergency Call (+91) 7055004165
Home
About Us
services
ADVANCED DENTAL SERVICES
Dental Implant
Single Sitting Root Canal
Treatment
Descalling & Gum Treatment
All Ceramic Restoration
Oral Surgical Procedure
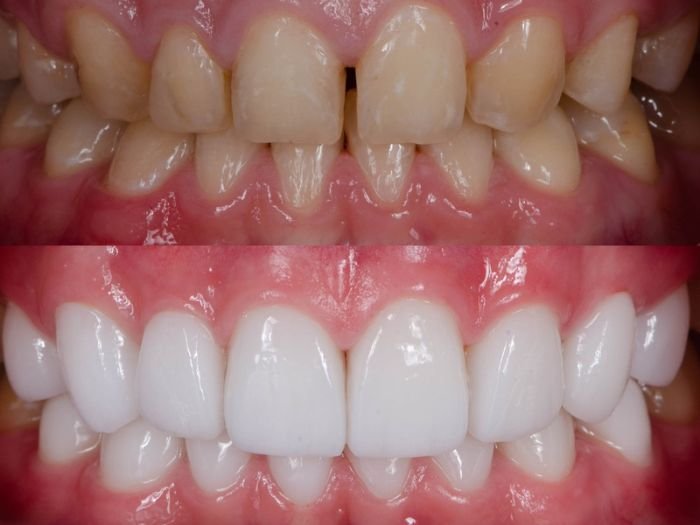
All Ceramic Restoration
Ceramic Veneers
Complete & Partial Denture
Flexible Denture
Invisible Orthodontic
Treatment
Smile Designing
Digital Radiograph
Bleaching
Dental Diamond
FACIAL COSMETOLOGY
Facial Rejuvenation
Medi Facial
Hydra Facial, Prp
Vampire Facial
Carbon Facial,
Chemical Peel, Acne
Scar, Melasma Treatment
Facial Wrinkle Treatment
Wart And Mole Treatment
Dark Eye Circle Treatment
Skin Ligtening Treatment
Prp For Hair Loss
Micro Pigmentation
For Bald Patch, Vitiligo
FACIAL AESTHETICS
Botox, Filler, Thread Lift
SKIN LASER
Laser Hair Reduction
Laser Beard Shaping
Tatoo Removal
PERMANENT MAKEUP
Eyebrow Microblading
Ombre Eyebrow
Lip Micro Pigmentation
Eyelash Lift
Blog
Gallery
contact
Gallery
Home
Gallery
Our Gallery